“零切迹”颈椎前路减压椎间融合手术——颈椎病患者的新选择
2021-10-19 19:54:23
河南大学第一附属医院
卢彦肖
字号【
大
中
小
】

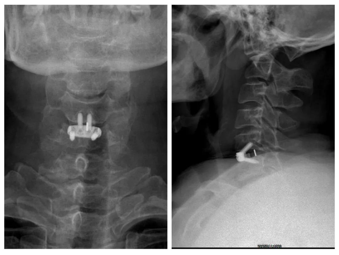
近日,我院骨科二病区团队在主任王胜利的带领下顺利开展了“零切迹”颈椎前路减压椎间融合手术,为颈椎病患者的治疗带来了新的选择,患者术后恢复良好,标志着我院骨科的诊疗技术迈上一个新的台阶。
患者王阿姨,55岁,两星期前出现右腿无力,活动不便,后又不小心摔了一跤,四肢出现麻木、无力,腹部有明显的“束带感”,到当地医院就诊,考虑是“格林巴利综合症”,CT、化验检查结果又不支持该诊断。患者为求进一步诊治,来到我院骨科门诊,王胜利接诊了该患者,经过仔细询问病史、查体及阅片后,考虑患者是颈椎病外伤加重导致。
因为已经出现神经压迫症状,四肢麻木、无力,严重影响患者生活。根据患者病情资料,鉴于患者年龄、颈髓受压、外伤等情况,考虑患者具有手术治疗指征,王胜利团队决定为其手术以达治疗目的。为了能让患者在一定程度
上
更好地
挽救脊髓功能、改善患者的生活,经科室讨论,放弃传统颈椎手术方法,决定为其采用新型“零切迹”椎间融合手术方案。
责任编辑:王胜利
“零切迹”颈椎前路减压椎间融合手术——颈椎病患者的新选择
说明:热度榜主要以育人号最近72小时的活跃度(包括发文量、浏览量、评论数、点赞数)和近24小时的更新数为主要指标进行计算。其中前者占60%,后者占40%。
我要评论 (网友评论仅供其表达个人看法,并不表明本站同意其观点或证实其描述)
全部评论 ( 条)