让罕见被看见

2023-03-05 00:49:56 张达成

2月28日,是第16个“国际罕见病日”,我国有近2000万罕见病患者,每年新增患者超过20万。

人人都该拥有获得健康的权利,但罕见病患者遭遇更多是被误诊和误解。近些年,南医三院呼吸内科党支部帮助越来越多的罕见病患者缓解病痛、恢复健康,今天,我们一起来认识一例罕见病,期待帮助罕见病患者,鼓励他们积极治疗、拥抱新生。

(一)诊断手记:

一名29岁男性因活动性气促1年入院,病程中伴有阵发性连声干咳,偶有咳少量黄色粘痰,平素一旦受凉感冒后气促、咳嗽症状会加重,咳嗽剧烈时感胸闷以及一过性针刺样胸痛。既往有吸烟史10余年,近半年以来体重减轻10余斤。

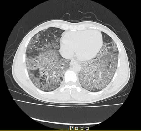
入院查体双肺呼吸音减弱,胸部X线显示双侧弥漫性病变,胸部CT扫描显示双肺广泛磨玻璃影,呼吸空气条件下动脉血气提示存在低氧血症以及轻度二氧化碳潴留,肺功能检查提示存在重度限制型通气功能障碍伴有弥散量重度下降。

我们为患者进行支气管镜肺泡灌洗术,可吸出大量乳白色灌洗液,肺泡灌洗液沉淀物病理检测可见大量嗜伊红染色的分泌物。进一步为患者进行支气管镜冷冻肺活检术,标本病理检测提示肺泡腔内充满嗜伊红染色的分泌物且特殊染色PAS阳性。最终为患者确诊为“肺泡蛋白沉积症(Pulmonary Alveolar Proteinosis,PAP)”。经过肺泡灌洗治疗后患者气促症状改善,复查胸部CT扫描提示双肺病变减轻。

(二)罕见病科普:

PAP属于间质性肺疾病范畴,属于呼吸系统罕见病。PAP以肺泡表面活性物质在肺泡腔内大量沉积为特征的疾病,其原因是肺泡巨噬细胞清除表面活性物质障碍或是异常的表面活性物质产生所致。该疾病患病率为0.36/1000000~3.7/1000000,中位诊断年龄约39岁,约72%患者有吸烟史,男性多于女性。目前主要治疗手段之一为全肺灌洗治疗。

CT.png

肺泡蛋白症沉积症病人的胸部CT

责任编辑:张达成

我要评论 (网友评论仅供其表达个人看法,并不表明本站同意其观点或证实其描述)

全部评论 ( 条)

    罕见病患者遭遇更多是被误诊和误解。近些年,南医三院呼吸内科党支部帮助越来越多的罕见病患者缓解病痛、恢复健康。